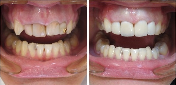
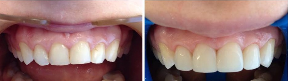
Вот уже более 10 лет я посвятила себя стоматологии. И что самое главное — мне это нравится! Я получаю огромное удовольствие от искренних, счастливых, красивых улыбок моих пациентов. Ведь в такие моменты чувствую себя волшебницей: кому то помогаю преодолеть страх боли и неизвестного, а кому- то приблизиться к своей мечте, и стать обладателем заветной голливудской улыбки! Все на самом деле легко и просто, нужно только иметь желание, а во всем остальном доверьтесь моему опыту, и я сделаю все возможное и невозможное, что бы Вы улыбались на все 32 от счастья. Ведь улыбка нам ничего не стоит, но очень многое дает!
А еще я пишу картины.








































